魚の骨 のどに刺さる
- カテゴリ:
- 診療について
岩倉市の「いのうえ耳鼻咽喉科」 院長の井上です。
先日のことです。
「鯖の骨がのどに刺さった」とのことで当院受診された子供さんがおられました。
まずは口👄の中を診てみます。

見える範囲には無さそうでした。
続いてファイバー
で喉の奥をチェックしてみます。


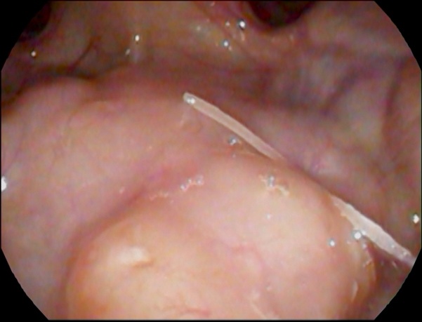
ありました![]()
場所はここです↓

舌扁桃という部位で、舌の付け根にあたります。
そして使う器具はこれです↓

ファイバー先端から、アームが出てきて骨をつかむのです。
![IMG_3683[1]](https://www.inoue-ent-cl.jp/webcms/wp-content/uploads/2021/05/IMG_36831.jpg)
そして取れたものは↓

1.9cm大の魚骨でした。
魚の骨が気になる方は、耳鼻咽喉科でのチェックをおススメいたします。