岩倉市の「いのうえ耳鼻咽喉科」 院長の井上です。
当院では 接遇 について定期的に講義をおこなっております。
![IMG_2969[1]](https://www.inoue-ent-cl.jp/webcms/wp-content/uploads/2024/06/IMG_29691.jpg)
今回は、私による講義です。
![IMG_2971[1]](https://www.inoue-ent-cl.jp/webcms/wp-content/uploads/2024/06/IMG_29711.jpg)
内容は やめましょう!「腕組みポーズ」
普段何気なくふるまっているその仕草、その仕草が 時には深いな気持ちを与えているかもしれません。
そんなつもりはないのだけれど、、、ということって、自分ではなかなか気が付きにくいもの。
腕組みポーズが癖になっていないか常に気をつける必要があります。
tel 0587-38-4133ヨイミミ
クリニックブログ
Blog
岩倉市の「いのうえ耳鼻咽喉科」 院長の井上です。
当院では 接遇 について定期的に講義をおこなっております。
![IMG_2969[1]](https://www.inoue-ent-cl.jp/webcms/wp-content/uploads/2024/06/IMG_29691.jpg)
今回は、私による講義です。
![IMG_2971[1]](https://www.inoue-ent-cl.jp/webcms/wp-content/uploads/2024/06/IMG_29711.jpg)
内容は やめましょう!「腕組みポーズ」
普段何気なくふるまっているその仕草、その仕草が 時には深いな気持ちを与えているかもしれません。
そんなつもりはないのだけれど、、、ということって、自分ではなかなか気が付きにくいもの。
腕組みポーズが癖になっていないか常に気をつける必要があります。
7月の診療体制は、
終日 院長と非常勤医師による2診体制です。

院内ではマスク着用をお願いします
★熱発(コロナ・インフルエンザ等の疑い)のある方は、まずクリニックにお電話して下さい(0587-38-4133)
混雑時、人数制限させていただく場合がございます。
医師の選択はできません、ご理解・ご協力の程お願いします。
変更時はLINE・WEB受付・お知らせ一覧・院内掲示にてお知らせいたします。
岩倉市の「いのうえ耳鼻咽喉科」 院長の井上です。
6/27は木曜で休診日。
クリニック外壁の高圧洗浄をおこないました。
![IMG_3006[1]](https://www.inoue-ent-cl.jp/webcms/wp-content/uploads/2024/06/IMG_30061.jpg)
壁はタイルなので洗浄効果が分かりにくいですが、雨どいの洗浄効果は分かり易いです(赤丸部分をこれから洗浄予定)

メンテナンスは大切ですね
岩倉市の「いのうえ耳鼻咽喉科」 院長の井上です。
先日のことです。
昨日 サバ
を食べてからノドが痛いとのことで当院受診された患者さんがおられました。
まずはノドを診てみます。

無さそうです。
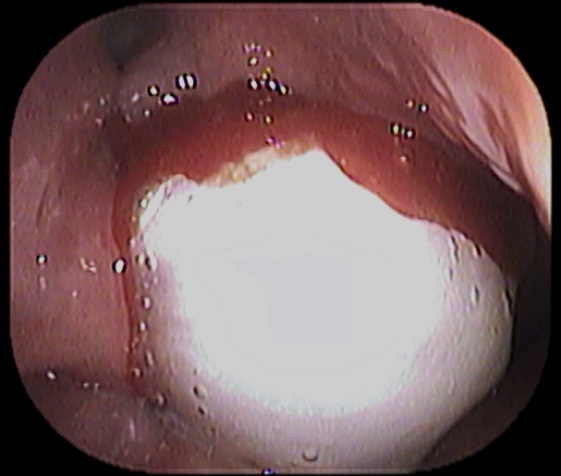
次はファイバーでノドの奥をチェックしてみます ![]()


ありました ![]()
場所はどこかと言いますと
「 舌扁桃(ぜつへんとう) 」と呼ばれる場所です。
刺さっているイメージとしてはこんな感じです↓

そして取れた魚骨は↓

1.5cm大 でした。
魚の骨が気になる方は、耳鼻咽喉科でのチェックをオススメいたします ![]()
岩倉市の「いのうえ耳鼻咽喉科」 院長の井上です。
日を追うごとに暑さが増し、夏の訪れを感じさせる毎日です。
先日のことです。3日前からの熱・ノドの痛みを主訴に当院受診された患者さんがおられました。
ノドを診てみると


扁桃に膿が付着していました(元々扁桃は大きいようです)。
病名は急性扁桃炎です。
温暖差が原因で風邪をひいて、扁桃に炎症を起こしていました。抗生剤点滴をしていただくこととなりました。
ノドの痛みの患者さんは、耳鼻咽喉科の受診をオススメいたします ![]()
岩倉市の「いのうえ耳鼻咽喉科」事務スタッフです。
先日SNSでずっと気になっていた一宮市にあるCafe珈琲館に行ってきました![]()
建物や看板がとてもレトロで入る前からパンのいいにおいが漂ってきました![]()
![]()
![IMG_2337[1]](https://www.inoue-ent-cl.jp/webcms/wp-content/uploads/2024/06/IMG_23371-500x375.jpg)
![IMG_2334[1]](https://www.inoue-ent-cl.jp/webcms/wp-content/uploads/2024/06/IMG_23341-e1717577827307-458x400.jpg)
私はデニッシュパンと抹茶ラテのモーニングセットをたのみました![]()
![IMG_2327[1]](https://www.inoue-ent-cl.jp/webcms/wp-content/uploads/2024/06/IMG_23271-324x400.jpg)
デニッシュパンが焼きたてでセットのコーンスープ、ポテトサラダ、卵もついて大満足でした![]()
他にも焼きたてクリームパンやクロワッサンもあったので
気になった方はぜひ行ってみて下さい![]()
![]()
岩倉市の「いのうえ耳鼻咽喉科」 院長の井上です。
先日のことです。10か月前にコロナ罹患してから、痰・倦怠感・頭痛・後鼻漏が続くとのことで当院受診された患者さんがおられました。
自身でネットで検索し慢性上咽頭炎を疑い当院受診されたとのことでした。
まずはファイバーでチェックしてみます ![]()
![phr-ne11[1]](https://www.inoue-ent-cl.jp/webcms/wp-content/uploads/2022/11/phr-ne111.jpg)

上咽頭に膿がしっかりと付着していました。
コロナ後遺症による慢性上咽頭炎 痰・倦怠感・頭痛・後鼻漏と判断し、Bスポット治療をおこないました。
まずは鼻👃から
![IMG_9914[1]](https://www.inoue-ent-cl.jp/webcms/wp-content/uploads/2022/11/IMG_99141-e1667716338282.jpg)

続いて口👄から

いずれも出血量が多く、炎症は強めと思われました。
その4日後のファイバー所見です↓

Bスポット治療後のため血の塊りが付着しています。
膿が付着している部分に Bスポット治療を続けていく必要があります。
コロナ罹患後で 痰・倦怠感・頭痛・後鼻漏といった症状がある方は、耳鼻咽喉科での上咽頭チェックをオススメいたします
岩倉市の「いのうえ耳鼻咽喉科」 院長の井上です。
先日のことです。
後鼻漏(鼻汁がノドに降りる感じ)を主訴に当院受診された患者さんがおられました。
ファイバーで上咽頭をチェックしてみます ![]()
![phr-ne11[1]](https://www.inoue-ent-cl.jp/webcms/wp-content/uploads/2021/12/phr-ne111.jpg)
上咽頭とはここです↓

別名:咽頭扁桃とも呼ばれている部分になります。
実際の所見は↓

上咽頭はわりとキレイでしたが、慢性上咽頭炎による後鼻漏が疑われたため、Bスポット治療をおこないました。

中程度の出血がありました。
その4日後に上咽頭を再度チェックしてみると↓

前回 Bスポットをおこなった部位から膿が出て、口側へ垂れこんでいました(赤丸部分)
これが口側へ垂れている所見です↓

イメージとしてはこんな感じです↓

慢性上咽頭炎が原因で後鼻漏がおこっていると思われます。
後鼻漏が気になる方は、耳鼻咽喉科でのチェックをオススメいたします。
岩倉市の「いのうえ耳鼻咽喉科」 院長の井上です。
当院は現在 増築をおこなっております 🚧
8月のお盆に完成予定です。
かなり出来上がってきております。
![IMG_2859[1]](https://www.inoue-ent-cl.jp/webcms/wp-content/uploads/2024/06/IMG_28591.jpg)
非常勤の先生にも参加していただき、コンセントやLANに位置などの使い勝手確認をしていただきました。
![IMG_2865[1]](https://www.inoue-ent-cl.jp/webcms/wp-content/uploads/2024/06/IMG_28651.jpg)
まだまだ 工事は続くと思いますが、皆様のご理解・ご協力をお願いいたします。