岩倉市の「いのうえ耳鼻咽喉科」 院長の井上です。
先日のことです。「耳垢除去希望」「耳チェック」目的で当院受診された子供さんがおられました。
耳
を診てみます。

まずは右耳

鼓膜の大半は見えますが、耳垢が一番奥に入ってしまっています。
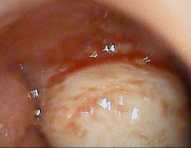
次に左耳

こちらは 耳垢で鼓膜のほとんが見えなくなっていました。
ここで耳垢について説明したいと思います。 耳垢は耳の入り口から1cmくらいの浅い場所に溜まります。奥には溜まりません。したがって 今回の場合は、何らかのきっかけで一番奥にまで入ってしまったと思われました。
お話を伺うと ご両親は綿棒で定期的に掃除していたとのこと。
今回は 吸引機でなんとか耳垢を除去することが出来ましたが、軟らかくする点耳薬処方し次回除去という子供さんも多いです。
耳掃除はほどほどがベストです。皆さん気をつけましょう 
3/11(水)は午前・午後 ともに2診体制とさせていただきます。

岩倉市の「いのうえ耳鼻咽喉科」 院長の井上です。
先日のことです。
半年前から「喉違和感」「詰まった感じ」があるとのことで当院受診された患者さんがおられました。
まずは喉を診てみます。

見える範囲には異常を認めませんでした。
続いてファイバーで奥をチェックします


声帯の一部に白い隆起がありました。
どれかと言いますと↓

赤丸部分です。
逆流性食道炎のアンケート結果が高値で、逆流性食道炎が原因の喉頭肉芽腫と診断しました。
喉頭肉芽腫とは、慢性的な刺激が原因で声帯の後方の粘膜が炎症を起こし、白く隆起する疾患です。
逆流性食道炎が原因で声帯後方の粘膜が白く隆起したと考えられます。
逆流性食道炎の治療薬で、白い隆起は縮小していきました。
「喉違和感」「詰まった感じ」がある方は、耳鼻咽喉科の受診をおススメいたします
岩倉市の「いのうえ耳鼻咽喉科」事務スタッフです。
クレープを食べに 究極の生クリーム クレープ専門店CinqMinutes稲沢店さんに行きました
着いてすぐ 賞味期限5分
目に入ってきました 期待大!!
注文したのは チョコバナナ生クレープ


出てきてビックリ(*_*)大きい
生クリームはエスプーマで作られていてとても軽く甘すぎず
美味しすぎて、、5分以内に完食しました
岡崎・岐阜にも店舗があるみたいなのでよかったら行ってみてください
![IMG_E3542[1]](https://www.inoue-ent-cl.jp/webcms/wp-content/uploads/2026/02/IMG_E35421-336x400.jpg)
岩倉市の「いのうえ耳鼻咽喉科」 院長の井上です。
スギ花粉症🤧でクリニックは大忙しです
頑張ってくれているスタッフさんへ 院長より差入れです
女性スタッフがほとんどということで、ケーキ です🍰


スタッフさん いつもありがとうございます 🙇
岩倉市の「いのうえ耳鼻咽喉科」 院長の井上です。
先日のことです。
「目玉👁シールが鼻👃に入った」とのことで当院受診された子供さんがおられました。
目玉シールとはこれです↓

AIの解説によると
目玉シールとは、手芸や工作などで使用される、目玉の形をしたシールのことです。特に「動眼(どうがん)」と呼ばれるタイプは、中の黒目がキョロキョロと動くのが特徴で、作品に表情や動きを与えることができます。
鼻の中を診てみます

何かありそうです

さらに近づいてみると↓

これを取り出します。
プラスチック製で硬いので、使用する器具の選択が重要となってきます。
通常ですと このピンセット↓

さらにしっかり掴む場合はこちら↓

今回は 後者を選択
そして取れたものは↓

1cmほどの硬いプラスチック製で 鼻に隙間無く入っていました。
鼻の異物の子供さんは、耳鼻咽喉科の受診をおススメいたします
岩倉市の「いのうえ耳鼻咽喉科」看護スタッフです。
3月1日航空自衛隊小牧基地2026が開催されてました。

空を見上げると、ブルーインパルス6機がアクロバット飛行していました。
この日は、朝から晴天で気温17度前後まで上がり

ブルーインパルスのスモークが白くが輝いていました。

とてもかっこよかった。また来年もみれるといいな。
岩倉市の「いのうえ耳鼻咽喉科」 院長の井上です。
医療事務さんは、毎月10日まではレセプト(診療報酬請求業務)のため、大忙し
3/4(水)も当院 医療事務スタッフさんが、残業するとのことで差入れ
です
リクエストはプリン🍮 とのことで ワタクシ買い出し

ご近所のカネスエへ

無事ゲットです
スタッフさん いっぱい食べて下さい

これは 「3日前から耳が痛くて聞こえが悪い」とのことで当院受診された患者の耳
の写真です。
外耳道に、膿&カビの塊が充満しています。
原因は耳掃除のし過ぎで耳の穴を傷つけ、そこにカビが付着し増殖という患者さんが多いです。傷がついた後で 長時間イヤホンを付けて生活している場合はハイリスクとなります。
治療としては、まずは耳鼻科を受診し耳の中を綺麗にすることです。抗真菌薬投与、さらに耳を触らないことが大切です。
実は、今回受診された患者さん 7年前にも外耳道真菌の診断での治療歴がございます↓

カビは治療でいったん消えたあとでも、繰り返しやすいという特徴があります。
耳
は診てみないと分かりません。耳症状のある方は、耳鼻咽喉科の受診をおススメいたします
岩倉市の「いのうえ耳鼻咽喉科」事務スタッフです。
先日、1/9〜1/11 名古屋ラシックにて開催していた
【Tea Picknic】に行ってきました

紅茶・ほうじ茶・中国茶・チャイ…
色々なお茶が試飲できたので、たくさん買ってしまいました
最近よく飲んでいるのはSENREIさんの【ほうじ茶・黒文字】です
なんと、ほうじ茶の茶葉の中に香木のクロモジが入っています🌳

お茶パックの中に入れてみました
想像以上に枝がいっぱいです

ほうじ茶の香ばしさとクロモジの甘くてスパイシーな香りが
混ざっていい香りです
ほうじ茶がお好きな方は是非試してみてください